http://www.timplant.cz

Timplant ® - ДЕНТАЛЬНЫЕ ИМПЛАНТАТЫ

Наша продукция:

• Система Дентальных Имплантатов Nanoimplant® -    Впервые в Мире из наноструктурнoго титанa

• Универсальный Телескопический Дистрактор

Сертификаты EN ISO 13485 и CE 1014 mark.

 

NANOIMPLANT – Впервые в Мире

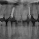
Чтобы отвечать более высоким требованиям потребителей дентальных имплантатов, были разработаны новые материалы. Наиболее перспективным здесь является наноструктурный титан (нано-Ti), так как он биоинертен, как и обычный технически чистый титан (CP Ti), и имеет значительно более высокие прочностные свойства, чем любой другой материал, используемый для изготовления зубных имплантатов, но не содержит ни потенциально токсичных, ни аллергенных добавок. Из нано-Ti были изготовлены цилиндрические винтовые имплантаты с резьбой Timplant Nanoimplant диаметром 2,4 мм и длиной интраоссеальной части 12 мм. В ноябре 2005 года была проведена операция по установке 3 наноимплантатов в передней части нижней челюсти пациента, которые были закреплены при помощи временного фиксирующего мостика. Нагружение проводилось в начале реабилитационного периода, и осложнений выявлено не было. Это была первая в мире операция по установке дентальных имплантатов из нано-Ti. В настоящее время  установлено более 1200 имплантатов Nanoimplant.

  • Nanoimplant®
  • Ha, ha. It is a good joke!
  • Pes - Ridgeback

NANOIMPLANT dia 2,0 mm

NANOIMPLANT dia 2,0 mm

В ходе выполнения проекта под сокращенным названием ViNaT был разработан и изготовлен прототип нового..

Читать дальше »

Первые наноимплантаты «Nanoimplant» в России

Первые наноимплантаты «Nanoimplant» в России

  В начале мая мы присутствовали при введении первых новых имплантатов «Nanoimplant» в городе Уфа...

Читать дальше »

Trademark In The U.S.A.

Trademark In The U.S.A.

The trademark NANOIMPLANT® was registered in the U.S.A. by United States Patent and Trademark Office. Registered date : July 7, 2009

Читать дальше »

Архив новостей »
ВРАЧ

Информация для профессионаловЧитать дальше

ПАЦИЕНТ

Информация для пациентовЧитать дальше